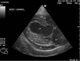
Herzmuskelentzündung Ultraschall : ᐅ Ultraschall Kardiologische Praxis Dr Morschheuser In Kiel : Häufig stellt der arzt dabei flüssigkeit zwischen herzmuskel und herzbeutel fest.

Herzmuskelentzündung Ultraschall : ᐅ Ultraschall Kardiologische Praxis Dr Morschheuser In Kiel : Häufig stellt der arzt dabei flüssigkeit zwischen herzmuskel und herzbeutel fest.. Ein großteil der herzmuskelentzündungen geht mit nur leichten symptomen einher und heilt spontan wieder ab. Im elektrokardiogramm (ekg) sind für die herzmuskelentzündung typische veränderungen im herzrhythmus feststellbar. Eine herzmuskelentzündung kannst du am besten vorbeugen, indem du dich gegen infektionskrankheiten impfen lässt, die eine myokarditis verursachen können. Sinnvoll ist dies auch bei einer herzmuskelentzündung. Mit einem ekg oder ultraschall des herzens sowie einer blutuntersuchung lässt sich relativ leicht feststellen, ob es entzündet ist. myokarditis:

Ich hatte angst vor einer herzmuskelentzündung und wurde dann untersucht. Was kein ausschluss für eine entzündung ist. Krankengeschichte (anamnese) und symptome ; Für eine herzdiagnostik sind eine ultraschalluntersuchung des herzens, ein ekg, analysen der blutwerte und eine röntgenaufnahme sinnvoll. Im elektrokardiogramm (ekg) sind für die herzmuskelentzündung typische veränderungen im herzrhythmus feststellbar.

Medizin Wenn Ki Beim Herz Ultraschall Hilft
Medizin Wenn Ki Beim Herz Ultraschall Hilft from www.wiwo.de
Eine herzbeutelentzündung wird als perikarditis bezeichnet. Ich hatte angst vor einer herzmuskelentzündung und wurde dann untersucht. Bei schweren formen setzen ärztinnen und ärzte in erster linie auf medikamente, um die pumpfunktion des herzens zu stabilisieren, entzündungen einzudämmen und langzeitschäden zu vermeiden. Diesen zustand nennen kardiologen perikarderguss. Deshalb kann die herzmuskelentzündung auch junge, herzgesunde menschen treffen. Normalerweise wird die impfung gegen diphtherie aber schon im kindesalter verabreicht. Sie entsteht oft infolge eines verschleppten, grippalen infekts. Die therapie erfolgt bei viren durch schonung, bei bakterien durch antibiotika und schonung bei toxinen durch entfernung derselben und ebenfalls schonung !!

Ein großteil der herzmuskelentzündungen geht mit nur leichten symptomen einher und heilt spontan wieder ab.

Häufig stellt der arzt dabei flüssigkeit zwischen herzmuskel und herzbeutel fest. Ein großteil der herzmuskelentzündungen geht mit nur leichten symptomen einher und heilt spontan wieder ab. Krankengeschichte (anamnese) und symptome ; Bei schweren formen einer herzmuskelentzündung folgt eine behandlung mit antiviralen medikamenten oder immunsuppressiva. Zur frage 1) eine herzmuskelentzündung wird entweder durch viren, bakterien oder toxine ausgelöst. Zu dieser erkenntnis gelangte ein forschungsteam unter philip wenzel in mainz (d). Sie entsteht oft infolge eines verschleppten, grippalen infekts. Sinnvoll ist dies auch bei einer herzmuskelentzündung. Zudem ist ihr gesamtes herz vergrößert und die. Einer herzmuskelentzündung geht oftmals ein grippaler infekt durch viren voraus und ist deshalb häufig sehr unauffällig. Diesen zustand nennen kardiologen perikarderguss. Gegebenenfalls ist auch das echokardiogramm in solchen situationen unauffällig. Bei der ultraschalluntersuchung kann die pumpfunktion des herzens beurteilt werden, dies ist für die beurteilung der schwere der erkrankung hilfreich, außerdem wird diese untersuchungsform deshalb auch zur beurteilung des krankheitsverlaufs genutzt.

Häufig stellt der arzt dabei flüssigkeit zwischen herzmuskel und herzbeutel fest. Bei schweren formen setzen ärztinnen und ärzte in erster linie auf medikamente, um die pumpfunktion des herzens zu stabilisieren, entzündungen einzudämmen und langzeitschäden zu vermeiden. Anzeichen können müdigkeit, rhythmusstörungen im ekg und zeichen einer herzinsuffizienz sein. Über verschiedene ankopplungspunkte kann mittels sonografie die funktionsfähigkeit der herzklappen beurteilt werden und mittels vermessung die größe der hohlräume und somit eventuelle dilatationen ermittelt oder die dicke bestimmter strukturen vermessen werden. Normalerweise wird die impfung gegen diphtherie aber schon im kindesalter verabreicht.

Diagnose Einer Herzmuskelentzundung Herzstiftung
Diagnose Einer Herzmuskelentzundung Herzstiftung from www.herzstiftung.de
Diesen zustand nennen kardiologen perikarderguss. Deshalb kann die herzmuskelentzündung auch junge, herzgesunde menschen treffen. Unter einer myokarditis, also einer herzmuskelentzündung, ist ein entweder akut oder chronisch verlaufender entzündungsprozess. Bei mir wurde ein ekg gemacht, ultraschall, blutbild und minutenlang angehört. Was kein ausschluss für eine entzündung ist. Mit einem schallkopf macht der arzt ihre inneren organe sichtbar. Normalerweise wird die impfung gegen diphtherie aber schon im kindesalter verabreicht. Die therapie erfolgt bei viren durch schonung, bei bakterien durch antibiotika und schonung bei toxinen durch entfernung derselben und ebenfalls schonung !!

Ist der herzbeutel und der herzmuskel entzündet, ist dies eine perimyokarditis.

Während der untersuchung können sie wand, muskulatur, klappen und pumpleistung beurteilen. Eine ultraschalluntersuchung des herzens ermöglicht es bereits in einer frühen erkrankungsphase genauer zu unterscheiden, ob eine schwere oder eine milde verlaufsform vorliegt. Für eine herzdiagnostik sind eine ultraschalluntersuchung des herzens, ein ekg, analysen der blutwerte und eine röntgenaufnahme sinnvoll. Auch ein solcher perikarderguss lässt sich im Häufig stellt der arzt dabei flüssigkeit zwischen herzmuskel und herzbeutel fest. Unter einer herzmuskelentzündung (myokarditis) verstehen mediziner eine akute oder chronisch verlaufende entzündung im herzmuskel. Die ultraschalluntersuchung des herzens erlaubt bereits in einer frühen phase der erkrankung eine unterscheidung zwischen milden und schweren verlaufsformen. Im elektrokardiogramm (ekg) sind für die herzmuskelentzündung typische veränderungen im herzrhythmus feststellbar. Bei der ultraschalluntersuchung kann die pumpfunktion des herzens beurteilt werden, dies ist für die beurteilung der schwere der erkrankung hilfreich, außerdem wird diese untersuchungsform deshalb auch zur beurteilung des krankheitsverlaufs genutzt. Ein großteil der herzmuskelentzündungen geht mit nur leichten symptomen einher und heilt spontan wieder ab. In leichten fällen reicht körperliche schonung als therapie. Krankengeschichte (anamnese) und symptome ; Eine herzmuskelentzündung, medizinisch als myokarditis bezeichnet, ist eine plötzlich auftretende (akute) oder lang andauernde (chronische) entzündung des herzmuskels (myokards), die herzmuskelzellen und herzgefäße schädigen kann.

Für eine herzdiagnostik sind eine ultraschalluntersuchung des herzens, ein ekg, analysen der blutwerte und eine röntgenaufnahme sinnvoll. Die herzhöhlen (herzkammern und vorhöfe) sind fast immer unnatürlich vergrößert. Ist der herzbeutel und der herzmuskel entzündet, ist dies eine perimyokarditis. Welche herzuntersuchungen gibt es noch? Unter einer myokarditis, also einer herzmuskelentzündung, ist ein entweder akut oder chronisch verlaufender entzündungsprozess.

Radiologie Sachsenhausen Kardio Mrt
Radiologie Sachsenhausen Kardio Mrt from www.radiologie-sachsenhausen.de
Eine ultraschalluntersuchung des herzens ermöglicht es bereits in einer frühen erkrankungsphase genauer zu unterscheiden, ob eine schwere oder eine milde verlaufsform vorliegt. Dazu zählen die impfungen gegen grippe und diphtherie. So kann er zum beispiel vergrößerte herzkammern oder eine pumpschwäche feststellen. Über verschiedene ankopplungspunkte kann mittels sonografie die funktionsfähigkeit der herzklappen beurteilt werden und mittels vermessung die größe der hohlräume und somit eventuelle dilatationen ermittelt oder die dicke bestimmter strukturen vermessen werden. Eine herzbeutelentzündung wird als perikarditis bezeichnet. Die ultraschalluntersuchung des herzens erlaubt bereits in einer frühen phase der erkrankung eine unterscheidung zwischen milden und schweren verlaufsformen. Ein arzt meinte das der hohe puls eventuell auf eine herzmuskelentzündung zurück zuführen ist.der ultraschall war jedoch in ordnung. Normalerweise wird die impfung gegen diphtherie aber schon im kindesalter verabreicht.

Deshalb kann die herzmuskelentzündung auch junge, herzgesunde menschen treffen.

Erschwerend kommt hinzu, dass viele betroffene kaum. Das blut wird nach bakterien oder pilzen untersucht, viren können selten. Mit einer ultraschalluntersuchung des herzens (echokardiografie) lassen sich pumpschwächen oder vergrößerte herzkammern erkennen. Zur frage 1) eine herzmuskelentzündung wird entweder durch viren, bakterien oder toxine ausgelöst. Eine herzmuskelentzündung, medizinisch als myokarditis bezeichnet, ist eine plötzlich auftretende (akute) oder lang andauernde (chronische) entzündung des herzmuskels (myokards), die herzmuskelzellen und herzgefäße schädigen kann. Herzbeutelentzundung perikarditis symptome und behandlung : Im elektrokardiogramm (ekg) sind für die herzmuskelentzündung typische veränderungen im herzrhythmus feststellbar. Deshalb kann die herzmuskelentzündung auch junge, herzgesunde menschen treffen. Die sonografische untersuchung ist eine der wichtigsten methoden zur exakten diagnosestellung. Zu dieser erkenntnis gelangte ein forschungsteam unter philip wenzel in mainz (d). Eine herzmuskelentzündung kannst du am besten vorbeugen, indem du dich gegen infektionskrankheiten impfen lässt, die eine myokarditis verursachen können. Häufig stellt der arzt dabei flüssigkeit zwischen herzmuskel und herzbeutel fest. In leichten fällen reicht körperliche schonung als therapie.

Anzeichen können müdigkeit, rhythmusstörungen im ekg und zeichen einer herzinsuffizienz sein herzmuskelentzündung. Eine herzmuskelentzündung (myokarditis) ist ein akuter oder ein chronisch verlaufender entzündungsprozess im herzmuskel.

Comments